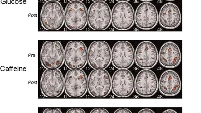
In cadrul unui studiu realizat recent la Universitatea din
Barcelona au fost utilizate imagini RMN pentru a determina
efectul combinatiei de glucoza si cafeina asupra
activitatii cerebrale.
Potrivit cercetatorului Josep M. Serra Grabulosa, acest
mix de substante imbunatateste performanta cognitiva, in
sensul ca sporeste atentia si memoria, prin stimularea zonelor
creierului responsabile pentru aceste functii.
Activitatea cerebrala a participantilor la studiu care
au consumat cafeina si glucoza simultan este mai eficienta,
intrucat creierul acestora are nevoie de mai putine resurse pentru
a junge la performanta cerebrala a subiectilor carora le-au fost
administrate substante placebo.
:format(webp):quality(100)/https%3A%2F%2Fwww.apropotv.ro%2Fwp-content%2Fuploads%2Fmedia%2F7092%2F7744949%2F1-creier1.jpg)
Culorile contrastante reprezinta
intensitatea activitatii creierului
Concluzia studiului este ca mixul
de glucoza si cafeina are efecte benefice asupra
atentiei si a invatarii, consolidand totodata memoria
verbala.
In cazul consumului acestor substante separat, nu au fost
identificate toate aceste modificari la nivel cerebral.